Care Designed Around Your Comfort
Wisdom tooth removal does not need to feel overwhelming. We focus on explaining what’s happening, why removal may be recommended, and what to expect at each step. Every treatment plan is based on your symptoms, X-rays, and long-term oral health, not a one-size-fits-all approach. Our goal is to keep you comfortable throughout every step of the process, from your initial evaluation to post-extraction care.
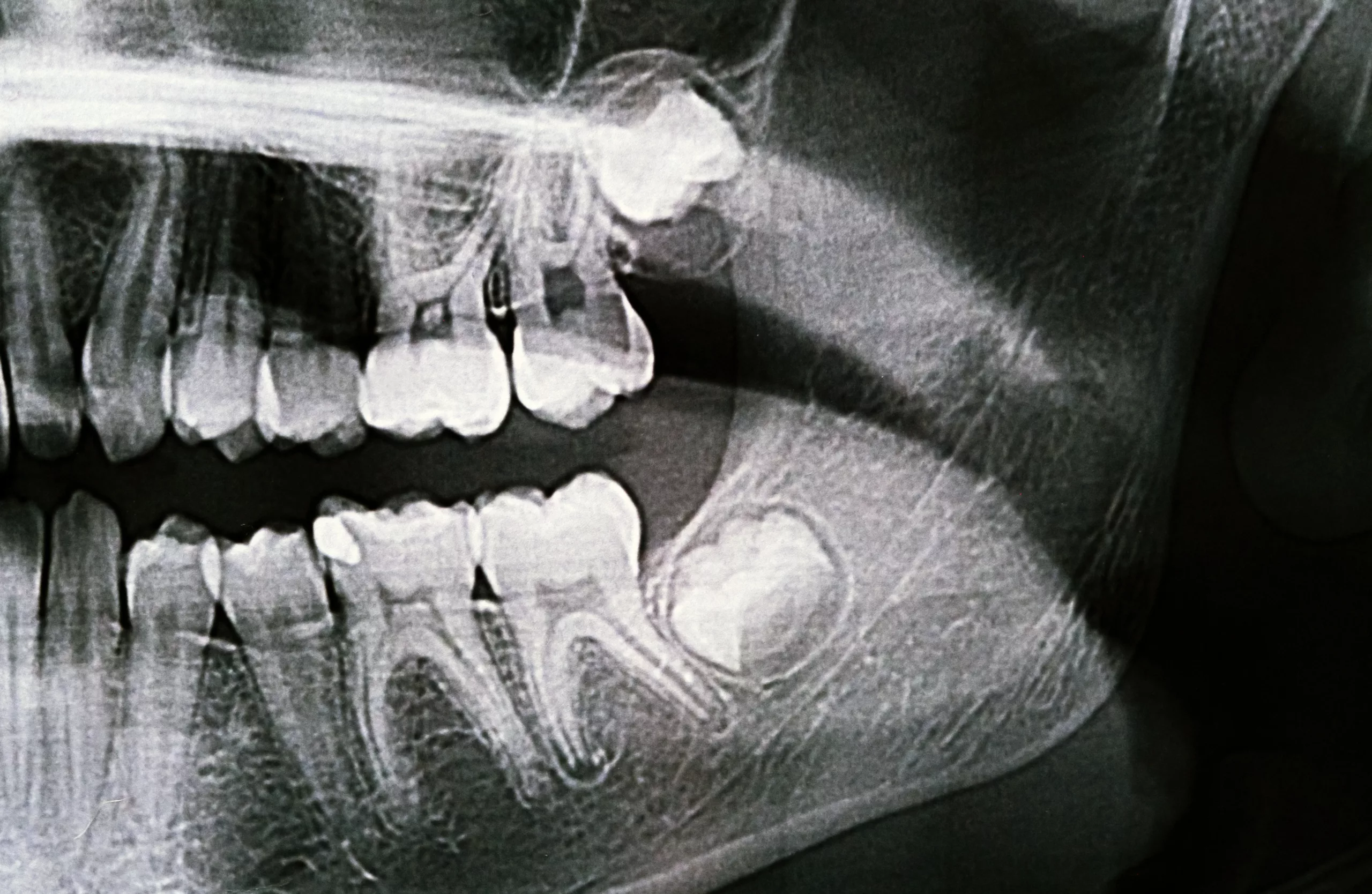
Signs Treatment May Be Needed
Wisdom teeth don’t always cause immediate pain, which is why issues can go unnoticed. Here are some common indicators:
- Pain or Discomfort: A persistent ache toward the back of your mouth may suggest impacted or erupting wisdom teeth.
- Swelling: Inflamed gums around the molars can signal that there’s insufficient space for the teeth to fully emerge.
- Jaw Stiffness: Difficulty opening your mouth or stiffness can be a warning sign of impacted wisdom teeth.
- Unpleasant Taste or Bad Breath: Trapped food and bacteria around partially erupted teeth can cause odor or a bad taste.
Early assessment helps reduce the risk of more serious complications. In some cases, sudden swelling, infection, or severe pain related to wisdom teeth may require prompt attention. Our emergency dentistry page explains when to seek immediate care if you’re unsure whether your symptoms qualify as urgent.
What to Expect During the Extraction
After a comprehensive exam and X-rays confirm the need for removal, we’ll develop a personalized treatment plan. The extraction process typically begins with administering a local anesthetic or sedation—depending on your comfort level and the complexity of the case. Once the area is fully numb, your dentist may:

Small Incision
If the wisdom tooth is impacted or partially covered by gum tissue, a small incision allows for better access.
Section the Tooth
In some situations, the tooth is sectioned into smaller pieces to minimize trauma and facilitate removal.
Remove the Tooth
The tooth (or its fragments) is gently lifted out, and the area is thoroughly cleaned to prevent infection.
Place Stitches
If there’s a significant incision, dissolvable stitches may be placed to assist in healing and reduce bleeding.
Before you leave, we’ll provide detailed aftercare instructions on managing discomfort, caring for the extraction site, and what foods to avoid, ensuring the smoothest possible recovery.
Sedation & Anxiety-Friendly Options
Many patients feel nervous about oral surgery. Sedation options are available to help you stay relaxed and comfortable throughout the procedure. Your comfort level is reviewed in advance so the right approach can be planned for your needs.
Recovery & Aftercare Support
Most patients return to normal activities within a few days. You will receive clear instructions on managing swelling, discomfort, and healing at home. Our team remains available if questions arise during recovery, and follow-up care is always part of the process.
Why Patients Choose Creekside Dental
At Creekside Dental, we understand that the thought of any dental surgery can be stressful. Our experienced team, led by Dr. Brian Hu, is dedicated to making your wisdom tooth extraction as comfortable and straightforward as possible. We offer:
- Personalized Treatment Plans: Every mouth is different, so we tailor procedures to your specific needs.
- Sedation Options: Various sedation methods are available if you feel anxious or have more complex cases.
- State-of-the-Art Technology: Our modern clinic ensures precision, safety, and efficiency.
- Transparent Pricing & Direct Billing: We follow BC College of Oral Health Professionals fee guidelines and offer direct billing to most insurance providers, simplifying your financial concerns.
If you’re concerned about your wisdom teeth or dealing with discomfort, don’t hesitate to reach out. We’ll walk you through the entire process and ensure you’re well-informed at every stage.
If you’re experiencing severe pain, suspect you need a tooth removed, or simply have questions about the process, we invite you to reach out. We’ll guide you every step of the way and tailor your treatment plan to meet your unique needs.
This FAQ section answers common questions to help you feel informed and confident about your dental care, and our team is always here to assist with any further inquiries.



